Bọc răng sứ có phải lấy tủy không?
Bọc răng sứ có đau không bác sĩ? bọc răng sứ có bị hôi miệng không? Răng mẻ nên em muốn đi bọc răng để khắc phục khuyết điểm. Tuy nhiên, em còn băn khoăn vấn đề trên. Mong sớm nhận được câu trả lời.
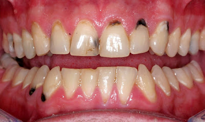
Vì sao răng bị sứt?
Theo các bác sĩ nha khoa, răng bị sứt mẻ thường xuất phát từ các nguyên nhân:
- Răng bị sứt do thiếu hụt canxi, flour, khoáng chất trong men răng.
- Răng mẻ dần do vi khuẩn sâu răng làm mất sự liên kết giữa các mô răng, mô răng bị phá hủy, vỡ vụn dần nếu không được điều trị dứt điểm thì tỷ lệ mất răng sẽ lớn dần.
- Chấn thương, va đập từ bên ngoài khiến răng bị mẻ, đau nhức, ê buốt khó chịu.
- Thói quen nghiến răng, khiến răng bị mòn, có khả năng bị sứt mẻ dần dần mà rất ít người nhận ra sớm.
- Răng bị sứt do ăn nhai đồ quá cứng, niềng răng tháo lắp có hiệu quả không nhất là vị trí răng hàm, là chiếc răng chịu áp lực lớn nhất của quá trình ăn nhai hàng ngày.
Bọc răng sứ có phải lấy tủy không?
Hiện nay, với kỹ thuật bọc răng sứ công nghệ cao, chiếc răng thật của bạn sẽ hạn chế bị tổn thương khi điều trị. Nếu răng miệng hoàn toàn khỏe mạnh chỉ cần phục hình mão răng sứ thẩm mỹ; làm cầu răng cho răng bị mẻ, vỡ mà chưa làm tổn thương đến tủy; răng bị nhiễm màu teytacycline; răng bị thưa…thì khi thực hiện bọc răng sứ bạn sẽ không cần phải lấy tủy.
Tuy nhiên, nếu răng gặp phải những trường hợp như bị viêm tủy răng, đau đớn khi ăn nhai, răng bị nhạy cảm với thức ăn nóng lạnh, hoặc bị sâu răng nặng…thì bắt buộc bác sĩ phải điều trị tủy răng dứt điểm trước khi mài cùi răng bọc mão sứ.
Để xóa tan mọi lo lắng về việc bọc răng sứ có phải lấy tủy không , bạn nên tìm đến Nha Khoa để được các bác sĩ thăm khám và tư vấn. Với chuyên môn điều trị hơn 15 năm qua, các chuyên gia sẽ lên kế hoạch thực hiện bọc răng sứ hạn chế tối đa tổn thương đến các tổ chức của răng. Thao tác mài răng được tiến hành với sự hỗ trợ của máy mài linh hoạt với đường mài sắc nét, chuẩn xác sẽ hạn chế tối đa cảm giác đau nhức tối đa với thời gian nhanh nhất.
Thông tin liên hệ: Trung tâm nha khoa Đăng Lưu
Địa chỉ:
Cơ sở 1: 34 Phan Đăng Lưu, P.6, Q.Bình Thạnh –(+84 8) 6297 7148
Cơ sở 2: 540 Trần Hưng Đạo, P.2, Q.5 –(+84 8) 6682 0346
Hotline: (+84 8) 66820346







